This has been the most exciting part of the pregnancy with Mini Mr. so far. I can't really believe that we're already over half way through! The nesting stage has come in full swing so good thing I have some energy and motivation.
However, my growing belly has sure made it difficult to sleep though the night 80% of the time. I sleep, but not that wonderful and glorious deep sleep that I love so much. One night during week 21, I went to sleep at 9ish and woke up at 11:30 to go to the bathroom. There's about a 40% chance of fully waking up when I need to use the commode so I do everything possible to keep that from happening (ie: keep all lights off, keep eyes shut, leave the tp where I can easily reach it, assume Peach is sitting right next to me so noise won't freak me out, etc) Well, on this particular night, I did all of these things and still fully woke up. Unfortunately, I was then fully awake for the next four hours. Awesome. Welcome to parenthood, Vanessa! Good thing Gspice likes waking up multiple times a night ;-)
I've also started experiencing heartburn (lucky me!) so this isn't helping me sleep very well, especially if I make the wise choice of eating something right before I lay down... During week 22, that's exactly what I did. I made the smart decision to down a little piece of brownie right before bed and not a few hours later, I awoke with terrible heartburn. Though super tired, I went downstairs, sat up on the couch for the next hour and watched one of the many shows I always have saved. I was able to sleep after that hour with no heartburn :) However, you'd think I'd learn after that.....TOTALLY not the case. I'm not sure when it happened, but one night I woke up with the most horrible thing possible to wake up to - acid reflux. Holy cow, I am soooo sorry for anyone who has that problem on a normal basis. I thought I was going to die. I went downstairs to Gary who was still awake and had a complete meltdown. We broke out the tums for the first time and thankfully the most horrible feeling in the world went away soon after.
On to more fun parts of the pregnancy - my growing baby bump! It is equally super fun and super freaky. My poor belly button. I feel like it's already stretched as far as it should probably be stretched. I'm just trying not to look at it too much... We've started taking weekly photos which has been fun. Not much of a change yet between weeks but definitely a bump!
Little Mini Mr. has started to hiccup and kick occasionally which is so darn cool. It still feels a little like butterflies but more and more I can definitely tell he's getting a little fiesty when my stomach will move with each of his kicks. He is such a busy body! He's also stubborn, just like his daddy and me. Every time I have tried to have Gary feel the kicks, Mini Mr. won't move a teeny muscle. Little turd!
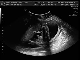
The absolute best part of the past few weeks was our 20 week ultrasound on July 5. Gary and I made a nice trip out of this. We scheduled the ultrasound for this particular date since we both had July 4 off as well. We booked a room in Rochester, shopped for more maternity clothes, looked at nursery furniture and went out for a lovely, but super filling Italian meal. To cap off the night, we took to the park to watch fireworks. Best part was definitely seeing a tree light up after being biffed with a forceful fireball of a firework. Don't worry, it was over as quickly as it began and no one was hurt. Everyone around us, including my silly husband, thought it was hilarious. Later that night, we watched several episodes of Chopped and I inevitably cried multiple times out of nerves. This was the ultrasound we've been waiting for - the one that would confirm many things. I was afraid that all my positivity would come crashing down. Gary was such a sweetheart and helped me calm down but my nerves were present all night and in to the morning as well. Obviously so, because as soon as we walked in to the ultrasound room, I burst in to the tears. Oh to be pregnant and completely freaked out. The sonographer let me compose myself and then we got down to business. That is when she said the best words we've ever heard: "Everything looks good, your baby is healthy, the spine looks good, etc) Seriously, the best moments ever. The next best part was hearing that we were having a little boy. He was squirming around, sucking his thumb and showing off like many men do...





I had bad heartburn too. In an effort to also try to get to bed faster after waking up in the middle of the night, I would set out 2-3 tums on my nightstand, so when the heartburn started, I just reached over, grabbed the tums, and chewed them while practically sleeping. worked great!
ReplyDelete